Цитонамазката е изследване, което има голямо значение за ранното откриване на рака на маточната шийка, който е сред най-честите онкологични заболявания при жените. В днешно време се прилагат едновременно конвенционална цитонамазка, която не се е променила значително от откриването ѝ през 1928 г. от Джордж Папаниколау, както и осъвременен и подобрен метод, наречен течно-базирана цитология. По примера на много европейски държави и България планира да въведе последната като златен стандарт. Независимо от метода, който избират, за пациентките е полезно да знаят на какъв период е препоръчително да се посещава гинеколог за цитонамазка и в кои дни от месечния цикъл трябва да става това. Отговор на тези въпроси, както и разяснение за разликата между конвенционалната и течната цитология, дава онкопатологът от медицинска лаборатория „ЛИНА” д-р Ярослава Маринчева.
- Д-р Маринчева, какво е значението на цитонамазката за превенцията на рака на маточната шийка и на какви периоди трябва да се извършва?
- Тя е първата стъпка след обстойния гинекологичен преглед, най-добре придружен с колпоскопия, особено след определена възраст, когато репродукцията не е основната причина за посещение при гинеколог. При здрави жени профилактичната цитонамазка трябва да започне 1-2 години след началото на половия живот. Оптималната възраст е около 20 години, като най-добре е да се прави ежегодно. Казваме усреднен срок, но ако цитонамазката винаги е придружена с колпоскопски преглед и с изследване на човешки папилома вирус, може да се прави и по-рядко при отрицателен резултата за високорисковите типове HPV.![]()
Онкопатологът д-р Ярослава Маринчева изследва под микроскоп пробите от цитонамазките
По принцип най-добре e да съобразяваме периода с предишния резултат. Ако той е от трета група, т.е. суспектен за промени, е хубаво по-голяма честота на намазките в следващите 1-2 години - на 3 или 6 месеца, като това преценява гинекологът според нивото на промените. Ако намазката не е позитивна, т.е. е от втора група, се съобразяваме според буквата пред резултата. Ако е Втора А група можем да направим следващата цитонамазка до две години, ако е Втора B значи няма кой знае какви реактивни и суспектни промени и следващата трябва да е в стандартния срок от една година. Ако е Втора C група е хубаво след 6 месеца да се повтори, като това е обичайно нормална група, но тя предполага по-изявени реактивни и хормонални промени.
- Има ли изисквания, които пациентките трябва да спазват, преди да посетят гинеколога си и в кой период от цикъла е най-подходящо да става това?
- Първите чисти дни след края на менструалното кървене са точното време за цитонамазка. Обикновено те са в периода между 7-я и 10-я ден при един обичаен 28-дневен цикъл с 5-6 дни кръвотечение. Дните от цикъла се броят като първи ден е денят на започналата менструация. Важно е пробата за цитонамазка да бъде взета преди овулация, която е между 11-ти- 18-и ден, според дължината на цикъла.
Най-важното, което трябва да се запомни, е че цитонамазката е само за онко профилактика. Тя не е метод за диагностика на възпаления и хормонални промени. Ако пациентката има първично изявено инфекциозно заболяване - бяло течение, гъбички или нещо, което предполага, че към момента има проблем, е по-добре той първо да се лекува и след това да се прави профилактична намазка. В противен случай всичко това се отразява на стъклото и това замъглява оценката на основното, което ни интересува – онко профилактиката.
- Каква е разликата между стандартната и течно-базираната цитонамазка и какви са предимствата на по-съвременния метод?
- Конвенционалната намазка има много добри страни, но и много недостатъци на самия метод. Тя е подходяща за масов скрининг, заради по-ниската си себестойност. Ако обаче пациентката иска по-детайлно изследване, тогава подходяща е течната цитология. ![]()
Основната разлика между двете е в качеството на взетата проба от гинеколога и видимостта на клетките и техните детайли на предметното стъкло. Именно по тях се определя има ли предракови промени. При стандартната цитонамазка гинекологът взима проба, която после се нанася на предметно стъкло, и се изпраща за изследване под микроскоп. Когато е видима на стъклото, в нея са примесени много допълнителни клетки и обекти, които замъгляват картината. Това са възпалителни клетки в различно количество в материала от шийката на матката, еритроцити – червени кръвни клетки, които се получават обикновено при самото вземане на пробата, особено ако то е по-грубо. Също така, когато посещението при гинеколога е в неправилно време от цикъла, шийката е по-ранима и изкървява, а във влагалището има много слуз. То е пълно с нея и особено в дадени периоди на цикъла замъглява клиничната картина. Това е като звездички върху екрана на телевизор, които много пречат на образа. Ако обаче се вземе течно-базирана цитология, тези проблеми на конвенционалната цитоманазка са минимизирани в голяма степен.
- По-каква причина редица европейски държави с по-развита здравна система избират течно-базираната цитология като златен стандарт?
- При конвенционалната намазка разчитаме на човешки фактор при вземане, разстилане на пробата, начин на съхранение и обработка. Течно-базираната се взема по по-лесен и стандартизиран начин с удобна четка, която не предизвиква кървене, и се съхранява в специална среда, в която може да издържи на стайна температура до няколко седмици. Така не се налага човек – гинеколог или акушерка, да разстели пробата върху стъкло и да стане така, че не е разстелена, както трябва. Не се налага да чакаме пробата да бъде донесена в лабораторията и да се молим да е съхранена правилно, тъй като не са редки случаите, в които получаваме стъкла, залепени едно върху друго, което е неправилно. Всички тези неща са избегнати при течната цитология, защото тя е придружена със специален комплект от контейнерчета, четка и разтвор за съхранение. Четката е атравматична, с формата на канала на маточната шийка, така че да се вземат лесно клетки от всички необходими зони. ![]()
А дори пациентката да се забави с носенето на намазката, това не влияе на качеството на материала. След като пробата е в лабораторията, обработката се извършва от апарат, така че в нея не попадат странични обекти като слуз и еритроцити, след това се гледа детайлно под микроскоп. На всички етапи имаме предимства на новия метод пред стария и човешката грешка е сведена до минимум. Поради тази причина течно-базираната цитология е приемана като златен стандарт. В много клиники по репродуктивна медицина се използва именно този метод.
- Как изглеждат под микроскоп проби от двата вида цитонамазки и голяма ли е разликата?
- Клетките при течно-базираната са много по-добре разстлани, тънки, всяка една се вижда много добре, както и нейните детайли – ядро, граници, отношение със съседни клетки. При конвенционалната не е така, защото тя се разстила на стъкло с четка от човек. ![]()
Така изглеждат под микроскоп клетките от пробата за стандартна цитонамазка
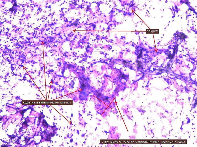
Много често стандартната цитонамазка е разстлана на няколко слоя, като клетките се наслояват една върху друга и изглеждат като стълбчета магнити, а детайлите им не могат да се отдиференцират. А ние преценяваме групата на намазката по детайлите. Затова е много важно клетките да са колкото се може по-раздалечени, да не се наслагват и да няма обекти наоколо като слуз, възпалителни клетки, еритроцити и т.н. Всичко това се постига благодарение на новия метод. ![]()
Детайлите на клетките са много по-ясно видими при течно-базираната цитология
Не на последно място от същия разтвор в рамките на четири седмици може да бъде извършено допълнително изследване на човешки папилома вирус без да се посещава за втори път гинеколог.
- Какъв е Вашият призив към пациентките?
- Който и от двата метода да изберат, да не пропускат това профилактично изследване, защото то е доказало, че намалява честотата на откриване на рака на маточната шийка в късни стадии и показва предраковите промени на клетките. Профилактичната цитонамазка може да спаси живота Ви, затова не чакайте твърде много. В лаборатория „ЛИНА” извършваме както стандартна цитонамазка, така и течно-базирана цитология, с която също имаме голям опит.
1 Коментар
д-р Главашки -патолог
2020-01-24 22:20:50няма как ТБ цитология да е " златен стандарт" колега. Златен стандарт в диагносттиката е хистологичното изследване, което дава окончателна диагноза. Останалото е реклама за бизнеса, който практикувате.