Ракът на маточната шийка е едно от най-често срещаните онкологични заболявания сред жените. Той може да бъде предотвратен, като голяма роля за това има профилактиката, която подпомага навременната диагностика. Най-разпространеният скрининг за рак на маточната шийка е цервикалната цитонамазка. В кои дни е добре да се извършва, на какви интервали от време и как да се тълкуват резултатите споделя онкопатологът от медицинска лаборатория „ЛИНА” д-р Ярослава Маринчева. Д-р Маринчева е лекарят, който изследва под микроскоп пробите, взети от гинеколозите. Тя има над 13-годишен опит.
„Цервикалната проба-цитонамазка е метод основно за профилактика на рак на маточната шийка. На нея могат да се видят промени от вируси, гъбички, паразити и др., но не е подходяща за точна диагностика на инфекция, хормонални или други гинекологични проблеми. При клинично подозрение за някое от тези състояния е препоръчително първо да се излекуват и чак тогава да се вземе профилактичната проба – цитонамазка. Важно е да се знае, че на намазката ние търсим рак или предракови изменения. Ако не намерим такива, отчитаме пробата като нормална от патологична гледна точка. Наличните микроорганизми - трихомони, гъбички, хламидии и други или видими хормонални проблеми, не са предмет на финална диагноза на тази проба. Необходимо е да се направят други допълнителни тестове, които гинекологът ще назначи. Тук е моментът да спомена, че колегите в лаборатория „ЛИНА” извършват ДНК диагностика на полово предавани инфекции”, споделя д-р Маринчева.
За качеството на цервикалната проба има значение в кои дни от цикъла е взета
Намазка се прави веднага след менструален цикъл за най-точна преценка. Взема се със специална четка от външна и вътрешна част на канала. Важно е да се вземе по правилен начин от двете части на канала и да се съхранява правилно до пристигане в лабораторията. От това зависи точната преценка. Некачествената проба не дава екзактна представа за състоянието на маточната шийка.
Кога не е подходящо да се взима проба за намазка?
Д-р Маринчева съветва дамите да не правят намазка след овулация, при наличие на подозрение за инфекция (преди да я лекуват), обилно течение, скоро след полов акт (48 часа). Така ще намалят вероятността да получат фалшиво позитивни резултати, например III група.
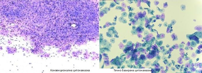
Нови методи
В последните 10 години освен познатата на всички цитонамазка, се прилага и по-модерен метод, който е с по-висока точност. Това е течно базираната цитология, която лаборатория „ЛИНА” извършва.![]()
Когато посещавате своя гинеколог за цитонамазка
Микроскопският вид на намазката се променя в хода на менструалния цикъл, с възрастта, вида на менструалната протекция, употребата на хормонални таблетки, наличие на песари (спирали). Затова изисквайте от вашия гинеколог да отбелязва цялата необходима информация на придружаващия намазката документ.
Оценка на риска от развитие на рак на маточната шийка и значението на различните групи в резултата?
За оценка на намазката се използват различни схеми: Папаниколау, Модифициран Папаниколау (Сент Гален), Бетезда.
II група ( РАР II А, В или С) е обичайна нормална находка, която не е притеснителна, особено ако групата по Бетезда е NIL. Буквичката градира по- прецизно реактивните промени, които се виждат на намазките. Ако пациентката няма друга препоръка, следващата профилактична проба е по схемата:
А- до 2 г.
В- до 1г
С- до 6 м.
III А група Промените при III А група изискват допълнителни изследвания, за да се изключи сериозно заболяване. Възможна е инфекция, хормонален проблем, наличие на човешки папилома вирус, ранни предракови изменения, които са напълно лечими. В този случай е нужно наблюдение и /или допълнителни тестове, които назначава гинекологът. Той може да изпише лечение и последваща контролна проба.
Кои са най-притеснителните групи, които показват риск от развитие на рак на маточната шийка?
Сериозни промени предполагат групите III B, IV и V. Те са алармиращ сигнал. Изискват колпоскопия с прицелна биопсия на подозрителния участък за екзактна преценка. ![]()
Кога е препоръчително да се извърши ДНК диагностика на човешки папиломa вирус?
С човешки папилома вирус се заразяват много от сексуално активните жени. Имунната система на жената обикновено се справя сама за 6-24 месеца. На качествена проба, особено течнобазирана, се виждат промените, които настъпват след вирусна инвазия. За по- голяма прецизност е препоръчително да се направи ДНК вирусна диагностика за високо рискови щамове. Жените се проследяват и ако е необходимо се изписват лекарства за подпомагане на организма в борбата с вируса.
При профилактиката на рак на маточната шийка резултатите от цитонамазката винаги се анализират заедно с клиничната находка- гинекологичният преглед и другите направени тестове: микробиология, вирусни проби и др.
“Важно за пациентките е да знаят, че наличието на инфекция, хормонален дисбаланс, скорошен сексуален контакт, неправилно време и начин на вземане на пробата (с неподходяща четка, грубо и болезнено, водещи до кървене) пречат на преценката за същественo търсени проблеми. Цитонамазката е проба, с цел откриване единствено на предракови и ракови изменения”, заявява д-р Маринчева.
0 Коментара